บริการ : จัดฟัน

อุดฟัน

คลินิกฟันวิเศษ 2 อ่างทอง

อุดฟัน

คือการซ่อมแซมฟันที่มีรอยผุหรือเสียหาย โดยการใส่วัสดุอุดฟันเข้าไปในส่วนที่ผุหรือถูกทำลาย เพื่อป้องกันการลุกลามของปัญหาและรักษารูปร่างของฟันให้เหมือนเดิม วัสดุที่ใช้ในการอุดฟันมีหลายประเภท เช่น วัสดุคอมโพสิตเรซิน (สีเหมือนฟันธรรมชาติ), อมัลกัม (สีเงิน), และเซรามิก ซึ่งแต่ละประเภทมีความเหมาะสมต่างกัน ขึ้นอยู่กับตำแหน่งและความต้องการของคนไข้

การอุดฟันด้วยวัสดุ คอมโพสิตเรสิน
(composite rasin)

คือการใช้เรซินสีเหมือนฟันธรรมชาติในการซ่อมแซมฟันที่ผุหรือมีรอยเสียหาย

ข้อดีของคอมโพสิต : สีเหมือนฟันธรรมชาติ ทำให้ดูเป็นธรรมชาติเมื่อยิ้ม
ยึดเกาะได้ดี ช่วยรักษารูปร่างของฟัน
ไม่ต้องกรอฟันออกมากเหมือนวัสดุอุดประเภทอื่น

ข้อเสียของคอมโพสิต : ใช้เทคนิกในการอุดยาก เนื่องจากทันตแพทย์ต้อง อุดภายใต้สภาวะปราศจากความชื้น
อาจเกิดการเปลี่ยนสีเล็กน้อยเมื่อใช้ไปนาน

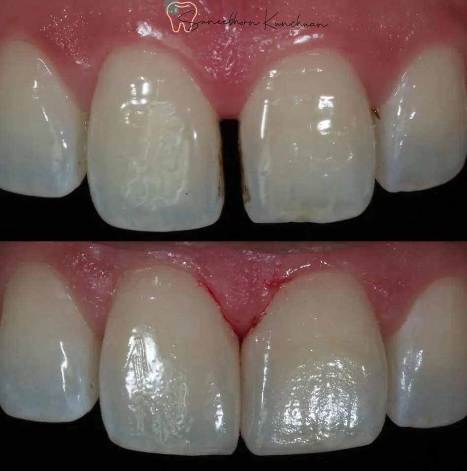
อุดปิดช่องว่าง

การอุดปิดฟันห่างเป็นการเติมวัสดุอุดฟันระหว่างฟันที่มีช่องว่าง เพื่อปรับรูปร่างฟันให้ชิดกันและดูเป็นธรรมชาติ โดยทั่วไปมักจะใช้วัสดุคอมโพสิตเรซิน (Composite Resin) ซึ่งมีสีเหมือนฟันธรรมชาติ ทำให้การอุดฟันดูไม่สะดุดตา

ข้อดีของการอุดปิดฟันห่างด้วยคอมโพสิตเรซิน :

  • ให้ผลลัพธ์ที่ดูเป็นธรรมชาติ สีเหมือนฟันจริง
  • ไม่ต้องมีการกรอฟันมาก
  • ใช้เวลาในการทำไม่นาน

วิธีนี้เหมาะสำหรับการปิดฟันห่างที่ไม่กว้างมาก หากช่องว่างระหว่างฟันกว้างมาก อาจพิจารณาการรักษาอื่น ๆ เช่น การทำวีเนียร์ (Veneers) หรือการจัดฟัน

นัดหมายปรึกษาทันตแพทย์

เรทราคาอุดฟัน

ราคาโปรโมชั่น

Lorem Ipsum is simply dummy text of the printing and typesetting industry. Lorem Ipsum has been the industry’s standard dummy text ever since the 1500s, when an unknown printer took a galley of type and scrambled it to make a type specimen book.

คลินิกฟันวิเศษ 2 อ่างทอง

เวลาทำการ
จันทร์ – ศุกร์ : 2 AM – 7 PM
เสาร์ – อาทิตย์ : 9.30 AM- 7 PM

คลินิกทันตกรรมฟันวิเศษ2 อ่างทอง (Funwiset2 Dental clinic)
99, 3 ศาลาแดง Mueang Ang Thong District, Ang Thong 14000

Lorem Ipsum is simply dummy text of the printing and typesetting industry. Lorem Ipsum has been the industry’s standard dummy text ever since the 1500s,

© 2024 Maxideastudio. All Rights Reserved.

คลินิกทันตกรรม

ฟันวิเศษฯ 2 อ่างทอง

เวลาเปิดทำการ

จ.-ศ. 14.00 - 19.00 น.
ส.-อา. 9.30 - 19:00 น.

99, 3 ศาลาแดง ตำบล ศาลาแดง อำเภอเมืองอ่างทอง อ่างทอง 14000